Référence : Balian Axel. Hépato-gastro-entérologie médicale et chirurgicale. Editions 2009. Editions Vernazobres-Greco, 514 pages.
Ulcère gastrique et duodénal

Ulcère gastrique
Physiopathologie
L’infection à Helicobacter pylori (H pylori)
En France, la prévalence de l’infection est de 22% à l’âge de 20 ans, 65% à l’âge de 60 ans. L’homme est le seul réservoir connu de la bactérie. La transmission se fait par les selles ou la salive d’un sujet infecté. La contamination a presque toujours lieu avant l’âge de 5 ans.
Les anti-inflammatoires non stéroïdiens (AINS) et l’aspirine
Leur action passe par une diminution du flux sanguin dans la muqueuse gastrique, et une diminution de la production des prostaglandines (qui sont vaso-dilatatrices).
La prise d’AINS multiplie par 4 le risque d’ulcère symptomatique ou d’ulcère compliqué d’hémorragie digestive.
Circonstances du diagnostic. Moyens du diagnostic
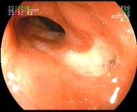
Le diagnostic est porté lors d’une fibroscopie oeso-gastro-duodénale (FOGD)
Motifs de la réalisation de la FOGD |
Douleurs épigastriques.
Complications possibles d’un ulcère : hémorragie digestive, anémie par carence en fer, sténose antro-pylorique. |
Apports de la FOGD |
Visualisation de l’ulcère (perte de substance de taille variable)
Permet les biopsies.
Localise le siège exact de l’ulcère.
En cas d’hémorragie : permet souvent de stopper celle ci (injection, mise en place de clips). |
Moyens du diagnostic de l’infection à H pylori
Pourquoi éradiquer H pylori ?
L’éradication de H pylori diminue de 80% le risque de récidive de l’ulcère.
De plus, l’éradication d’H pylori diminue la récidive de la maladie ulcéreuse et ses complications.
Quelles sont les méthodes pour diagnostiquer une infection à H pylori ?
Les différentes méthodes pour diagnostiquer une infection à H pylori
Méthode |
Principes |
Avantages. Inconvénients. Indications préférentielles. |
Histologie |
Biopsies lors d’une FOGD. |
Examen de référence lors du 1er diagnostic. Permet aussi le diagnostic de gastrite. |
Test à l’uréase |
Transformation de l’urée en ammoniac et CO2 par l’uréase de H pylori. |
Rapide. Mais nécessité de réaliser des biopsies lors d’une FOGD. |
Culture |
Biopsies puis culture. |
Uniquement sur biopsies. Permet d’obtenir un antibiogramme. Uniquement indiquée en cas d’échecs de l’éradication de H pylori. |
Test respiratoire au C13 |
Elimination du CO marqué par le C13 |
Examen de référence pour le contrôle de l’éradication. Non invasif et facile à effectuer. |
Traitement pour les ulcères en rapport avec une infection a H pylori
Les 2 schémas d’éradication de H pylori |
Schéma 1 : 7 jours de trithérapie associant : IPP double dose, amoxicilline 2g/jour, clarythromycine 1g/jour. |
Schéma 2 : 7 jours de trithérapie associant : IPP double dose, métronidazole 1g/jour, clarythromycine 1g/jour. |
L’éradication est obtenue dans 70% des cas. Les causes d’échec sont : la non observance, les résistances aux antibiotiques.
Traitement des ulceres liés aux AINS
Le 1er traitement est préventif, en présence de facteurs de risque prescrire des IPP en association aux AINS.
La prescription d'un IPP en association aux AINS a des indications bien précisées
- Age > 65 ans.
- Association à un antiagrégant plaquettaire, notamment l'aspirine à faible dose et le clopidrogel et/ou les corticoïdes et/ou un anticoagulant (tout en soulignant que ces associations doivent de principe être évitées).
- Antécédent d'ulcère gastrique ou duodénal, compliqué ou non. Dans ce cas une infection par Hp doit être recherchée et traitée.
|
Traitement chirurgical des ulceres
Les indications de la chirurgie sont devenus très rares. Elles sont dorénavant limitées aux ulcères compliqués (perforation, hémorragie avec échec du traitement endoscopique…), aux ulcères résistants au traitement médical bien conduit, aux ulcères récidivants à court terme à l’arrêt du traitement. |