Maladie de crohn (mc)
Rectocolite hemorragique (RCH)









Référence 1 : Balian Axel. Hépato-gastro-entérologie médicale et chirurgicale. Editions 2009. Editions Vernazobres-Greco, 514 pages.
Référence 2 : www.afa.asso.fr

Epidemiologie-physiopathologie

La maladie est multifactorielle faisant intervenir : flore digestive, génétique, immunologie, environnement.

 

Circonstances du diagnostic de la RCH

Elle se révèle surtout par les signes digestifs.

Les signes cliniques possibles dans la rectocolite hémorragique

Signes digestifs

Signes extra-digestifs

Douleurs abdominales permanentes.
Diarrhée chronique, surtout glairo-sanglantes.
Rectorragies chroniques.
Faux besoins.

Dermatologiques : erythème noueux, aphtes buccaux.
Oculaires : épisclérite, uvéite antérieure.
Rhumatologiques : spondylarthrite ankylosante, arthrite périphérique, ostéoporose.

 

Diagnostic de gravité. Histoire naturelle.


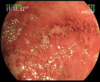
Ulcérations coliques de rectocolite hémorragique

L’évolution est marquée par des poussées de périodicité et de gravité imprévisibles.
La gravité de la RCH est appréciée sur un score clinico-biologique (score de Truelove) et les données endoscopiques.


 

 

 

 

 

Classification de la gravité clinico-biologique de la RCH selon l’index de Truelove et Witts



 

Poussée légère

Poussée modérée

Poussée sévère

Nombre de selles/jour

< 4

4-6

> 6

Sang dans les selles

Intermittent

Fréquent

Toujours

Température

Normale

< 37°5

>37°5

Rythme cardiaque

Normale

< 90/min

> 90/min

VS à la 1ère heure

Normale

< 30

> 30

Hémoglobine sérique

Normale

>10,5g/dl

< 10,5g/dl



Poussée de rectocolite hémorragique

 

Complications

La complication la plus à redouter est la colectasie (ou mégacôlon toxique), qui peut se compliquer elle même d’une perforation avec péritonite.

 

 

 

Traitement

Traitement des poussées non compliquées legeres et modérées de la RCH

Dans les formes distales : traitement topique (suppositoire) par mésalazine (Pentasa®, Rowasa®). Si échec : lavement de corticoïdes.
Dans les formes étendues : mésalazine orale. Si échec corticothérapie orale.

Traitement des poussées severes non compliquees de la rch

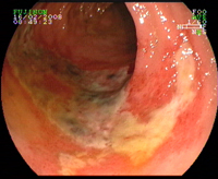
Ulcères du rectum sur rectocolite hémorragique

Corticothérapie intra-veineuse, parfois nutrition parentérale. En l’absence d’amélioration au 5ème jour : soit tentative de traitement par ciclosporine, soit chirurgie (colectomie subtotale avec iléostomie et sigmoïdostomie puis anastomose iléo-anale ou iléorectale 3 mois plus tard). La place des anti-TNF-alpha n’est pas encore bien détérminée.

 
 
 
 
 
Traitement des poussées severes compliquees (colectasie-pêrforation)

Chirurgie : colectomie subtotale avec iléostomie et sigmoïdostomie.

Traitement d’entretien

Après une 1ère poussée légère à modérée de RCH : mésalazine.

Indications du traitement chirurgical

Forme chronique invalidante et résistante au traitement médical.
Colite aiguë grave non compliquée résistante au traitement médical bien conduit.
Colite aiguë grave compliquée (hémorragie massive, colectasie, perforation).
Cancer ou dysplasie colique.

 

Surveillance

Dans les formes pancoliques de RCH, après 8 ans d’évolution il faut réaliser une coloscopie totale régulière (tous les 2-3 ans) avec colorations (chromoendoscopie) et biopsies étagées. Le but est de dépister des lésions précancéreuses (dysplasie).

 

 

 

Site créé par Web-ISI