IMAGES ET PHOTOS SCANNERS DIGESTIFS

 

Calcifications dans le pancréas. Pancréatite chronique

Calcul dans la vésicule biliaire

 

Cancer de l'oesophage

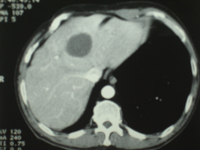
Carcinome hepato cellulaire

 

Diverticulose colique

Fécalome

 

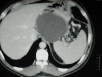
Hyperplasie nodulaire focale

Kyste biliaire

 

PET TDM

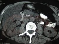
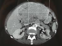
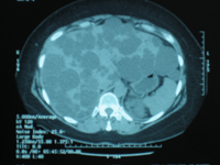
Polykystose hépatique

 

Prothèse bilaire pour cancer du pancréas

Pseudo kyste du pancréas

 

 

Site créé par Web ISI