FIBROSCOPIES DIAGNOSTIQUE ET THERAPEUTIQUE

 

Aspect de maladie coeliaque duodénale

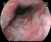
Cancer hémorragique de l'oesophage

 

Clip ouvert en bout d'endoscope

Dilatation endoscopique d'une sténose de l'oesophage

 

Diverticule de l'oesophage

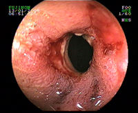
Duodénum normal

 

Endobrachyoesophage

Estomac normal en rétrovision

 

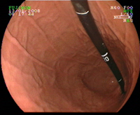
Gastrostomie

Ligature d'une varice hémorragique de l'oesophage

 

Varices dans l'oesophage

Mucosectomie d'un cancer superficiel de l'estomac

 

Prothèse oesophagienne endoscopique pour cancer

Sonde gastrostomie. Vue gastrique

 

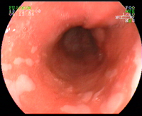
Sténose esophagienne peptique

Tumeur sous muqueuse de l'estomac

 

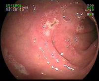
Ulcère gastrique

Ulcères superficiels post AINS

 

 
Ligatures au bout de l'endoscope  
Site créé par Web ISI